U wenst informatie over

Carpaal tunnel syndroom

Springvinger

Springduim

Congenitale springduim

Peesschedecyste

De Quervain tendinitis

Mallet vinger

Mucoid cyste

Vingerartrose

Skiduim

Duimbasis artrose

Polscyste

Ziekte van Dupuytren

Scafoidfractuur

Scafoidpseudartrose

Scafo-lunaire dissociatie

Ziekte van Kienböck

Polsartrose

Ulnair impactie syndroom

TFCC scheur

Polsfractuur

Sudeck dystrofie

Carpaal tunnel operatie

Springvinger operatie

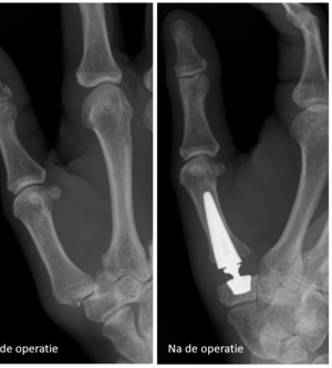
Duimbasisprothese

Trapeziectomie
