U wenst informatie over

Tenniselleboog

Golferselleboog
Cubitaal tunnel syndroom
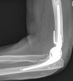
Elleboog artrose: totale elleboog prothese
Elleboog artrose & loose bodies
Slijmbeursontsteking

Bicepspees scheur
Radial tunnel syndroom

Elleboog trauma
Radiuskopfractuur

Elleboogarthroscopie

Elleboogprothese
